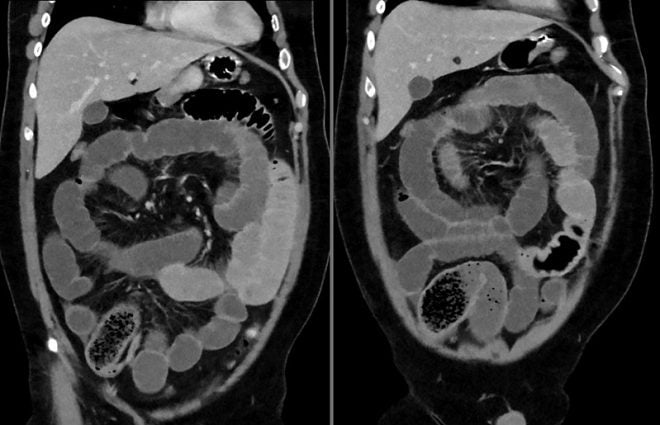
Verpleegkundigen en artsen ondersteunen bij de diagnostiek en behandeling van ileus in de palliatieve fase. Dat is het doel van een nieuwe digitale beslisboom, ontwikkeld door Integraal Kankercentrum Nederland (IKNL).
De beslisboom is gebaseerd op
Auteur: Jeroen Wapenaar
Verpleegkundigen en artsen ondersteunen bij de diagnostiek en behandeling van ileus in de palliatieve fase. Dat is het doel van een nieuwe digitale beslisboom, ontwikkeld door Integraal Kankercentrum Nederland (IKNL).
De beslisboom is gebaseerd op
Twee keer per week de nieuwste artikelen van Nursing in je mail? Schrijf je nu in voor de nieuwsbrief!

Geef je reactie
Om te kunnen reageren moet je inlogd zijn. Inloggen Ik heb nog geen account