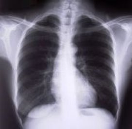
Een longontsteking is al te verhelpen met een antibioticakuur van drie dagen. De gebruikelijke kuur van zeven tot tien dagen blijkt volkomen onnodig.
Dat concluderen onderzoekers van het AMC. Internist Jan Prins ontdekte dat longontstekingen
Behandeling longontsteking kan korter
Een longontsteking is al te verhelpen met een antibioticakuur van drie dagen. De gebruikelijke kuur van zeven tot tien dagen blijkt volkomen onnodig.
Dat concluderen onderzoekers van het AMC. Internist Jan Prins ontdekte dat longontstekingen
Twee keer per week de nieuwste artikelen van Nursing in je mail? Schrijf je nu in voor de nieuwsbrief!

Geef je reactie
Om te kunnen reageren moet je inlogd zijn. Inloggen Ik heb nog geen account